chaguwang.cn-查股网.中国
查股网.CN
迪安诊断(300244)内幕信息消息披露
 
沪深个股最新内幕信息查询:    
 

喜讯!迪安诊断与金华市中心医院胸外科团队合作,发现肺癌新型RET融合

http://www.chaguwang.cn  2022-04-24  迪安诊断内幕信息

来源 :迪安诊断2022-04-24

  近日,迪安诊断精准中心业务部与金华市中心医院胸外科团队合作,在一名肺腺癌患者中发现了一种新型的RET基因融合模式:MINPP1-RET(intergenic:R12)融合。

  该案例在线发表于国际期刊《Journal of Cancer Research and Clinical Oncology》(2020年影响因子4.553),通讯作者为金华市中心医院胸外科陈献国主任,第一作者为胸外科徐小义副主任医师,集团精准中心业务部宇兆男和王昊一分别为共同通讯与共同一作。

图片

  原文链接:https://link.springer.com/article/10.1007/s00432-022-03969-4

  复制链接或点击文末“阅读原文”跳转

  案例介绍

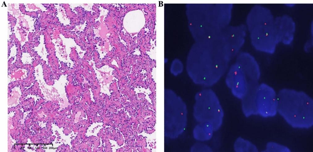
  2019年6月,一名40岁女性在例行体检时发现其左肺下叶有一个13 mm?×?7 mm的磨玻璃影结节。该患者从不吸烟,体检时也无咳嗽咳痰、胸闷胸痛等明显症状。拿到体检报告后,患者到金华市中心医院检查并于同年7月进行了胸腔镜左下肺叶切除手术。术后常规病理结合冰冻切缘报告显示左下肺浸润性腺癌(直径1.1cm),贴壁型为主,未见脉管癌栓,神经侵犯(-),胸膜累犯(-),切缘阴性,综合判定其分期为pT1bN0M0。

图片

  病理分析(H&E染色和FISH)

  为鉴定患者的肺癌致病基因并为随后的治疗和随访提供参考,切除的原发灶癌组织被送至金华市中心医院的精准中心进行靶向二代测序(NGS)。检测结果发现了一种新的RET融合方式:MINPP1-RET(intergenic; R12)融合。在非小细胞肺癌(non-small cell lung cancer, NSCLC)中,RET基因融合是重要的发病机制和诊疗靶点。随后,精准中心利用自有的FISH平台检测进行了验证实验,证实该融合形式确实存在。

图片

  MINPP1-RET(intergenic; R12)融合

  这篇文章是世界上首次在肺癌病例中鉴定到MINPP1基因上游的基因间隔片段与RET基因的外显子12-21发生融合的报导。该患者在确诊肺癌前几乎没有明显的症状,提示了肺癌早期诊断的重要性和困难性。这种致癌性RET基因融合形式扩展了NSCLC患者的基因组分子频谱,为未来肺癌的临床治疗和药物开发奠定了基础。

  自2017年成立至今,金华市精准诊疗中心充分发挥了金华市中心医院的临床医疗优势,以及迪安诊断的技术、人才、资金优势,形成了“1+1>2”的效果,进一步提升了医院在肿瘤精准诊断、科研与技术转化等方面的技术水平,弥补了区域医院在肿瘤基因测序等临床检测上的短板,让金华及周边地区的百姓在家门口就能享受到与国际接轨的优质医疗服务。

  “精准医疗”是行业发展的方向,建设精准医学中心是医院推进学科发展的必然需求。目前,迪安诊断已携手30余家三级医院成功建设了精准中心。

  迪安诊断精准医学中心的建设以质谱平台和分子诊断平台为依托,为合作伙伴提供精准实验室的整体解决方案,为精准医学中心的运营和发展赋能;同时结合生物样本库资源,整合与挖掘医学大数据信息,通过基础研究、成果转化和临床应用多种方式,推进精准医学技术在临床的全面、科学合理应用,进而推动医疗产业转化和升级。

有问题请联系 767871486@qq.com 商务合作广告联系 QQ:767871486
查股网以"免费 简单 客观 实用"为原则,致力于为广大股民提供最有价值和实用的股票数据作参考!
Copyright 2007-2021
www.chaguwang.cn 查股网