
“他们忘记了很多事情,但是从未忘记爱你”。当我们谈起阿尔兹海默症时,总是会不禁联想起公益宣传片的这句话。
随着年龄的增长,一种起病隐匿的进行性发展的神经系统退行性疾病-阿尔茨海默症(AD)正悄悄的蔓延。而人口老龄化是中国21世纪的基本国情,越来越多的国人步入中老年。
根据国际阿尔茨海默症协会的数据显示,每3秒钟,全球就有一位新的阿尔兹海默症(AD)患者产生。预计到2050年,全世界(AD)患者将增加至1.5亿以上。我国每年至少有30万新发病例,目前患者数已超过1000万,占世界(AD)患者总人口的1/4,而这一数字还在随着人口老龄化不断攀升。阿尔兹海默症已成为亟待解决的社会问题之一,对于(AD)患者来说,应对疾病最可怕的也许并不是对智力消退的无奈,而是他们感受到尊严被损害,却无力反抗。而这种尊严的丧失,早在病人彻底失去自我管理能力之前就会出现,惊慌失措,暴躁易怒,在无力和孤独中拉扯,逐渐忘记自己最亲近的人,阿尔茨海默症不仅为患者带来了巨大的痛苦,也让患者们的家属备受煎熬。
什么是阿尔兹海默症?
阿尔兹海默症(Alzheimer’s disease,AD),是发生于老年和老年前期,以进行性认知障碍和行为损害为特征的中枢神经系统退行性病变,病因尚不明确,主要与遗传和环境因素相关,且无法治愈,综合治疗可减轻延缓病情发展。
阿尔兹海默症的危害
不同程度的阿尔兹海默症带来的症状有所不同。
轻度的阿尔兹海默症:认知功能下降,如记忆减退、时常断片、执行能力下降、语言功能受损等,但患者仍能独立生活。
中度的阿尔兹海默症:较严重的认知功能障碍,出现失语、失用等影响独立生活能力的症状。
重度的阿尔兹海默症:严重的认知功能损害,不能自理,完全依赖他人照顾。

阿尔兹海默症的预防
阿尔兹海默症虽然可怕,但是可以预防的,脑血管疾病是(AD)的主要致病因素之一,接下来就结合2020年《柳叶刀》杂志针对阿尔兹海默症的预防建议,即主要可干预因素,包括身体的活动锻炼、饮食的有效控制、危险疾病或慢病指标的正常化,以及社会认知和心态的维稳。具体细则如下:
提高受教育的程度,12年以上的教育。
避免中年期血压、血糖、血脂过高;
减少红肉摄入量,避免腹型肥胖;
减少糖尿病的患病以及并发症的风险;
戒烟限酒,规律有氧运动;
建议40岁以上人群,多动脑,积极参加社会活动;
保持肠道菌群的平衡状态。
近年来,科学界也在研究探索通过调节人体的微生物群(肠道菌群)开启针对阿尔茨海默症的新的预防策略。
首先,肠道菌群的紊乱会通过它的代谢产物对大脑造成影响。其次,它通过血液的迁移,包括炎症信号的释放、免疫细胞的迁徙,都可能对大脑功能造成直接或者间接影响。最后,这种肠道菌群的紊乱本身会造成脑营养的失调,也会造成病理性的一个叠加。
临床研究
研究表明肠道微生物的平衡与否对阿尔茨海默症疾病的发展起着一定干预作用。益生菌作为重要的微生态制剂,在调节肠道菌群的同时,是通过“肠-脑轴”对人体精神健康领域的问题进行调节。
乳双歧杆菌Probio?M8就是一款可以帮助改善缓解阿尔兹海默症且经过临床验证的菌株。
科拓生物针对阿尔茨海默症进行了临床试验,如下:
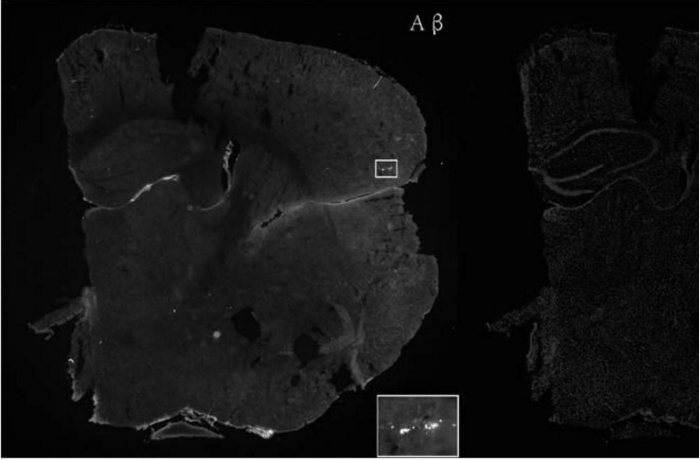
选取若干只4个月大的APP/PS1小鼠并随机分为两组,即实验组和对照组,分别用乳双歧杆菌Probio-M8和生理盐水喂养45天,收集小鼠粪便样本和脑内淀粉样β(Aβ)斑块样本,并进行分析。
实验结果参见图 1和图 2。两组数据对比分析得出,持续灌胃 45天乳双歧杆菌 Probio?M8的小鼠脑中Aβ斑块数量相比灌胃生理盐水组(对照组)有显著减少,其中面积较大的Aβ斑块数量也有所下降。证明了通过口服乳双歧杆菌Probio?M8干预4月龄APP/PS1小鼠可减少阿尔兹海默症特殊病理特征?Aβ斑块数量及面积。
实验结果证明,乳双歧杆菌Probio?M8具有缓解改善阿尔茨海默症状的作用。

[0015]图1为灌胃生理盐水组的小鼠大脑切片Aβ染色图

[0015]图1为灌胃生理盐水组的小鼠大脑切片Aβ染色图

科拓生物一直以来坚持科学研究,不断创新,并与国内众多高校,研究院所及企业合作,从亚洲各地自然发酵食品,健康人群肠道和母乳中分离、鉴定、保藏乳酸菌22318株,建成了亚洲最大的乳酸菌菌种资源库。
针对国人健康,科拓生物与国内十余家三甲医院合作开展60余项临床试验,取得了行之有效的研究成果。截止至2022年,科拓生物申请了120多项专利,发表了300多篇科学文献。
未来科拓生物仍将不断创新,继续打造“中国菌”并坚持自有菌株的产业化应用,助力中国益生菌行业健康发展。