来源 :金域医学2025-09-08
金域医学推出的病理+精准分子诊断方案,正一步步赋能临床破解甲状腺癌精准诊断难题,帮助提高确诊率和临床分流,为甲状腺癌预后分层、靶向治疗和遗传风险评估方面提供关键支撑。
凭借这套方案,金域医学顺利帮助临床确诊一例APC双体细胞失活突变的筛状桑葚型甲状腺癌(CMTC)病例。资料显示,这是一个极为罕见的癌症分型,全球仅检索到4例报道。
19岁少女甲状腺结节
竟是罕见肿瘤
来自山东的患者小艺(化名)因超声发现甲状腺结节并持续增大就诊和手术。
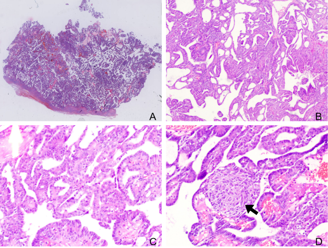
术后HE形态学显示肿瘤边界清楚,与周围的甲状腺实质分离,并伴有纤维包膜。肿瘤呈混合性生长模式,筛状、滤泡状、乳头状结构以及实性结构相混合;实性区域可见特征性桑葚样结构(黑色箭头表示桑葚),呈漩涡状;细胞胞浆丰富嗜酸;核大,可见毛玻璃样核和核沟。这些特征初步指向CMTC的形态学诊断。

镜下形态
免疫组化结果显示:肿瘤:LEF1(+)、β-catenin(+)、TG(-);筛状成分:TTF1(+)、PAX8(+)、ER(+);桑葚状结构:CD5(+)、CDX2(+),这一独特的免疫表型进一步明确了CMTC的可能性。

免疫组化结果
由于绝大部分CMTC病例与FAP相关,由WNT信号通路的APC基因的胚系变异导致;仅少数散发病例由APC、AXIN1或CTNNB1体细胞失活突变引起,要制定精准治疗方案和筛查遗传风险,必须明确小艺的分子分型。
金域医学对小艺的样本进行全面NGS分子检测。结果显示,其肿瘤组织中检测到APC基因p.S1144fs和p.A1236fs双失活突变,而配对外周血白细胞中未检测到APC基因相关变异。这意味着,APC基因两个突变仅仅存在于肿瘤细胞中,不具有遗传风险。
结合其他诊断信息以及临床表现,小艺被确诊为极其罕见的APC双体细胞失活突变CMTC。这一结果为治疗提供了关键依据。目前,小艺治疗后预后良好,无复发。


二代测序检测结果
甲状腺癌的罕见类型
预后良好
在甲状腺癌中,CMTC是极为特殊的罕见类型。它仅占所有甲状腺癌的0.16-0.5%,高发于年轻女性,且绝大部分与家族性腺瘤性息肉病(FAP)相关,由APC基因发生胚系变异导致。
其中,与遗传无关的CMTC散发性病例更为少见,尤其是由APC体细胞突变所致的病例,系统文献检索显示全球仅4例报道。
由于乳头结构和乳头状癌的诊断某些核特征相似,在第四版WHO分类中,CMTC被归类为乳头状癌的一种亚型,即“甲状腺乳头状癌的筛状变异”。但更多研究证实,此类肿瘤缺乏甲状腺滤泡细胞分化的明确生物标志物,其细胞形态学、免疫组化和遗传特征与滤泡来源甲状腺癌几乎没有重叠。因此,第五版WHO分类中,其命名改为“筛状-桑葚状甲状腺癌”,被归为组织发生不确定的甲状腺肿瘤。

形态学上,CMTC为边界清楚或局部浸润性的甲状腺肿瘤,呈独特筛状和桑葚样结构在内的混合性生长模式,筛状、滤泡状、乳头状结构以及实性结构相混合,各比例不一,无胶质形成;实性区域可见特征性桑葚样结构,呈漩涡状,类似鳞状化生,但缺乏角化和细胞间桥。
CMTC具有独特免疫组化表型,包括LEF1阳性、β-catenin弥漫性核浆表达。筛状区结构TTF1、34β12、ER、PR阳性,PAX8阴性(或病灶弱反应性),TG阴性;桑葚样结构CD10、CDX2、CD5、CK5阳性,而TTF1、PAX8、TG、ER、PR阴性。
尽管CMTC是甲状腺癌的罕见类型,但其预后较好。治疗CMTC的方案需要综合考虑,包括外科手术、内分泌治疗、放射性核素治疗以及靶向治疗等,其中外科手术是治疗CMTC的主要方法。对于没有高危因素的散发病例,单侧甲状腺切除术将是首选治疗方法,而在FAP相关病例中,推荐进行全甲状腺切除术。目前缺乏针对Wnt/β-连环蛋白通路的治疗方案。
关于甲状腺肿瘤病理+精准分子诊断方案
该方案基于金域医学的病理和分子两大技术平台构建而成,已开展包括 BRAF V600E突变、RET基因突变,以及甲状腺结节细胞学和多基因综合精准检测等检测项目,覆盖驱动基因、易感基因、分子分型和预后分子标志物。针对细针穿刺细胞学(FNAC)不能确定良恶性的甲状腺结节进行分子标记物检测,可辅助临床对甲状腺癌实现精准诊断。