今年2月,心脉医疗?与赛禾医疗达成合作协议,在中国大陆地区独家代理销售其外周血管内冲击波治疗系统产品。近日,该产品在中山大学附属第一医院等多个中心顺利开展上市后首批临床应用
目前,心脉医疗?在外周动脉介入领域共有8款已上市产品,包括药物球囊扩张导管、外周血管支架系统、弹簧圈、球囊扩张导管等,与赛禾医疗的合作进一步拓宽了公司外周动脉产品线
近日,上海微创心脉医疗科技(集团)股份有限公司(以下简称“心脉医疗?”)独家代理的LiqMagic?外周血管内冲击波导管在中山大学附属第一医院等多个中心顺利开展上市后首批临床应用。


▲LiqMagic?P18外周血管内冲击波导管在中山大学附属第一医院开展上市后临床应用
病例分享
挑战重度钙化病变,突破治疗瓶颈
中山大学附属第一医院血管外科姚陈主任团队成功运用LiqMagic?P18外周血管内冲击波导管治疗一例下肢动脉硬化闭塞症患者。该患者为一名老年男性,患高血压和糖尿病20多年,并伴有慢性肾功能不全。因右脚持续疼痛1年多入院接受治疗。术前造影结果显示下肢多发动脉钙化,其中右侧股浅动脉、腘动脉、胫前动脉、足背动脉重度狭窄,并局部闭塞。




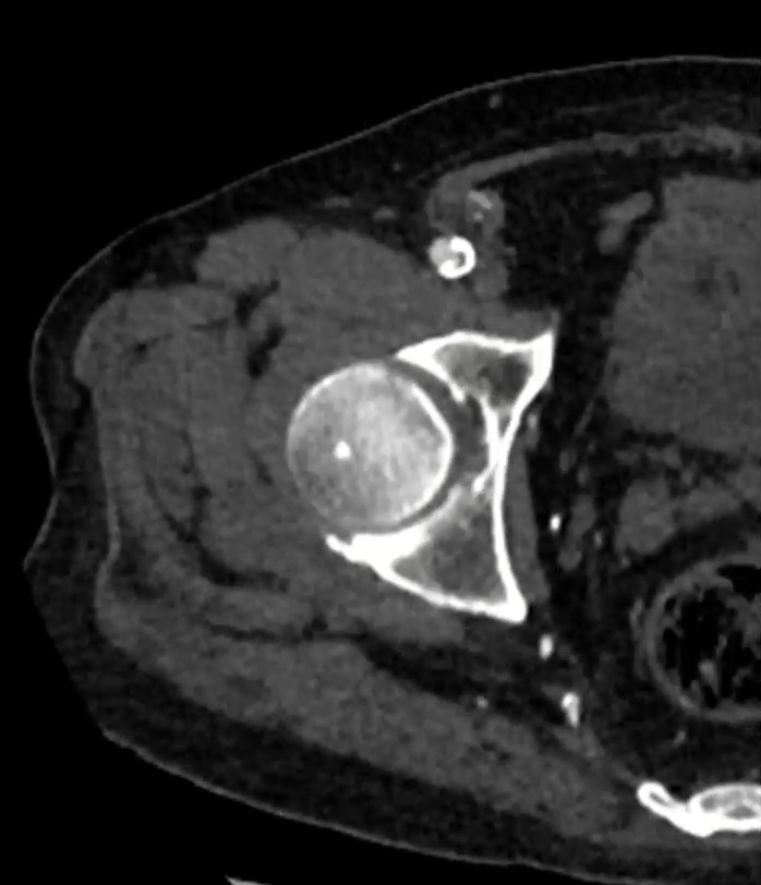
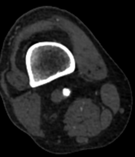
▲患者术前CTA
▲患者术前造影
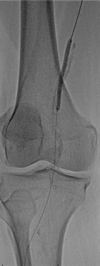
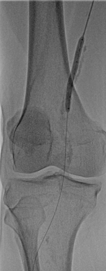
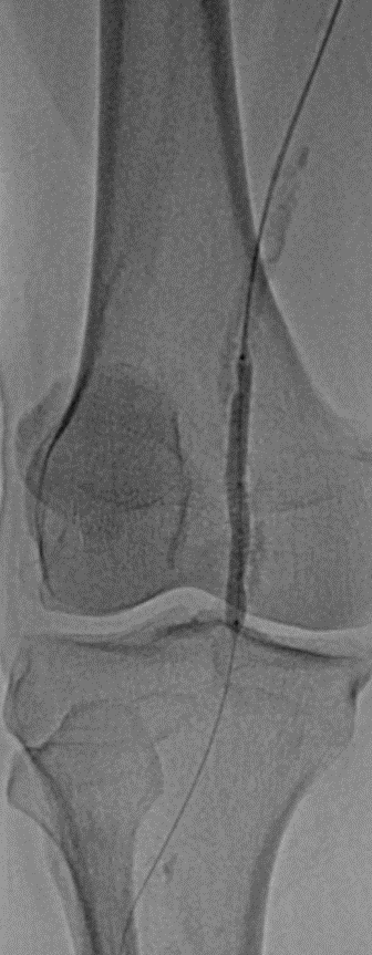
术中,团队首先使用开通导丝突破重度钙化病变,然后用2.0、2.5、3.0*150mm普通球囊逐级预扩张。造影显示血流较前稍改善,但钙化病变处仍有严重残余狭窄。
随后使用LiqMagic?P18外周血管内冲击波导管进行钙化斑块的压裂。根据血管尺寸,团队选择了4.0*60mm和5.0*60mm两个规格在4atm压力下逐段扩张整段病变,共进行了6个周期的冲击波治疗,将冲击波球囊加压至12atm显示病变狭窄解除,均匀扩开,保压1min后造影结果显示血流恢复通畅,钙化部位的残余狭窄明显改善。

▲4*60冲击波球囊扩张


▲5*60冲击波球囊扩张
▲首次冲击波球囊扩张后造影
▲再次冲击波球囊扩张后造影
最后使用心脉医疗?Reewarm?PTX 5*220mm药物球囊扩张导管扩张3min,再次造影显示原闭塞段血流通畅,无限流性夹层,血管形态良好,胫前动脉、腓动脉血流流速较前明显改善。
▲患者术后造影
该例患者动脉钙化严重,传统球囊难以扩开病变,外周血管内冲击波治疗系统成功压裂钙化斑块,改善血管顺应性,从而使球囊更易通过及扩张,并且也为药物球囊的使用创造了更佳的管腔环境。此外,LiqMagic?P18外周血管内冲击波导管扩张后未出现限流性夹层,避免了补救支架的植入,优化了长期预后。
下肢动脉钙化病变是外周动脉疾病(PAD)中一种多发性疾病,往往伴随较重的血管狭窄甚至闭塞,其复杂性为临床治疗带来较大的手术风险与难度,不仅降低手术成功率,且严重影响患者的预后,降低患者的长期生存率,提高截肢风险。血管内冲击波技术创新性地将液电效应和球囊血管成形术结合形成全新的血管钙化斑块处理技术,不仅对浅表钙化有作用,也是目前唯一有效处理深层钙化的治疗技术。该技术操作简便,并发症风险低,有助于更好获得管腔、减少支架的植入[1]。
由LiqMagic?外周血管冲击波导管和血管内冲击波治疗设备组成的外周血管内冲击波治疗系统,于2024年12月在国内获批上市。该设备通过向其冲击波导管提供脉冲式驱动电能,使其能够向外360°全周向、间歇性地输出发散式、低强度冲击波能量,进而对钙化斑块产生压裂作用,改善血管顺应性,并为后续治疗做好准备,同时对管腔内膜和正常血管组织不造成损伤。外周血管内冲击波治疗系统具备优异的人机交互功能、出色的耐压性能以及卓越的手术效率,可以满足临床中与日俱增的精准治疗需求及场景。
2025年2月,心脉医疗?与赛禾医疗达成合作协议,在中国大陆地区独家代理销售赛禾医疗生产的外周血管内冲击波治疗系统产品。目前,心脉医疗?在外周动脉介入领域共有8款已上市产品,包括药物球囊扩张导管、外周血管支架系统、弹簧圈、球囊扩张导管等,与赛禾医疗的合作进一步拓宽了公司外周动脉产品线。未来,心脉医疗?将继续坚持自主研发创新,并持续通过代理合作与收购,不断推出更多优质创新的高端医疗器械产品,为国内外主动脉、外周血管及肿瘤疾病患者提供普惠化一体化的医疗解决方案。
中山大学附属第一医院血管外科科室介绍

1964年,全国最早的血管外科之一中山医学院附属第一医院血管外科正式成立,之后在著名外科专家陈国锐教授和林勇杰教授的带领下,科室建设从小到大,从弱到强,逐步发展成为国内有名和华南地区第一的血管外科。2003年12月中山大学血管外科研究中心成立;2005年3月全国第一个独立的血管外科学分会——广东省医学会血管外科学分会成立;2000年血管外科成为广东省A类重点学科;2001年以血管外科为主要发展方向之一的中山一院普通外科,被评为国家教委的全国重点学科,2007年通过国家重点学科复审;2012年又被评为国家卫生部临床重点专科,2017年通过复审;2014年本中心被授予广东省科技厅血管疾病工程技术研究中心,2015年又被国家发改委批准成立血管疾病诊治技术国家地方联合工程实验室,并于2020年通过复审。2020年被评为国家放射与治疗临床研究中心核心单位。
目前本中心在学科带头人王深明教授和科主任常光其主任的带领下,继续瞄准国际和国内一流水平,制定切实可行的学科建设目标和研究方向,积极打造一支高水平的专业人才队伍,基础和临床研究水平继续稳居华南地区之首和国内一流学术水平。本中心拥有学术造诣较高的医疗、教学、科研等各方面的人才,现有在职医师14人,无创检查师2人,护士22人,博士及硕士研究生14人,博士后10人,科研助理3人。其中7人已取得副高以上职称,博士导师6人,8人曾在美国、澳大利亚、日本和西班牙等国家的著名医学院校或血管外科中心进修或留学。中山大学附属第一医院血管外科的医疗服务能力在广东省和华南地区均排名第一,学科带头人王深明教授和科主任常光其教授均是国内血管外科领域的著名专家,也分别是中国医师协会血管外科医师分会的名誉会长和副会长,广东省医学会血管外科分会的前任主任委员,目前中山一院血管外科的专科声誉在国内排名前列,是国内著名的血管外科研究中心和临床诊治中心。
?
专家介绍
?
姚陈教授
中山大学附属第一医院普通外科主任、外科实验室主任、血管外科副主任、医学博士、主任医师、博士生导师、博士后合作导师、美国斯坦福大学医学院博士后、德国莱比锡心脏血管中心访问学者、广东省杰出医学青年人才。
获得“广东省科学技术奖一等奖”、“华夏医学科技奖一等奖”。
广东省医学会血管外科分会候任主任委员;国际血管联盟(IUA)中国青委会主任委员;中国医师协会血管外科医师分会腔静脉与内脏静脉学组副组长;中国医疗保健国际交流促进会血管外科学分会副主任委员;广东省医师协会血管外科医师分会副主任委员;广东省健康管理学会血管病学专业委员会副主任委员、秘书长;中国心胸血管麻醉学会血管分会副主任委员;国家心血管病专家委员会血管外科专业委员会委员;中华医学会医学工程学分会外科医学工程与转化学组委员;中国血管外科杂志(电子版)常务编委;中华实验外科杂志、中华血管外科杂志编委。
?
专家介绍
?
武日东教授
中山大学附属第一医院外科学博士副主任医师硕士研究生导师;中国医师协会血管外科医师分会内脏动脉学组秘书;广东省医学会血管外科分会委员;广东省医师协会血管外科分会委员;广州市医师协会血管外科分会常委;国际血管联盟中国分部青委会常委副秘书长;广东省健康管理学会血管病学专业委员会委员;中国微循环学会周围血管疾病专业委员会中青年委员会委员;中国人体健康科技促进会血管外科学专业委员会委员;中山大学学报医学科学版审稿专家。
擅长血管外科常见疾病的诊治。第一作者及通讯作者发表SCI论文十余篇;主持国家自然科学基金青年基金一项,广东省自然科学基金博士启动基金一项,参与国家自然科学基金三项。