近日,四川大学华西医院心脏大血管外科安琪教授团队与心脏内科冯沅教授团队联合启动佰仁医疗Salus介入肺动脉瓣临床试验入组,并于当天成功完成1例经胸小切口介入肺动脉瓣植入,获得了理想的治疗效果。

病例情况
患者女性,15岁,15年前行“法洛四联症矫治术”,此次因“活动后心累、气促3年余”入院,心脏彩超提示:肺动脉前向血流通畅,肺动脉瓣重度反流。术前CT评估提示主肺动脉主干呈倒漏斗型(近端明显粗于远端),且主肺动脉总长仅3cm,左右肺动脉近分叉处均存在狭窄,尤其是左肺动脉开口处狭窄明显。
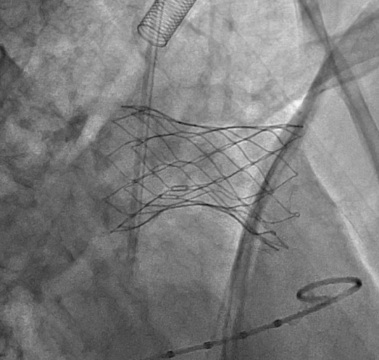
在安琪教授的主持下,多学科讨论后认为该患者上述解剖特点不适合目前经股静脉入路植入的介入肺动脉瓣,可考虑使用佰仁医疗Salus介入肺动脉瓣经心尖入路实施肺动脉瓣植入。在心脏大血管外科安琪教授主持下,心脏内科冯沅教授带领赵振刚副教授及李翔医师与心脏大血管外科罗书画副主任医师及李东旭主治医师合作完成了手术。术中手术团队经股静脉完成心导管检查及造影后,通过肋间小切口暴露右室心尖并预置荷包缝线,穿刺右室心尖建立经心尖入路,而后分别经股静脉和心尖进行左、右肺动脉球囊对吻扩张,最后经心尖完成肺动脉瓣植入。术后TEE提示肺动脉瓣植入位置理想、固定良好,无瓣周漏或中央反流,左、右肺动脉显影正常。肋间切口长度仅2.5cm,总体手术效果满意。

CT重建肺动脉

模拟肋间切口位置

肺动脉瓣膜植入后

肋间切口
先天性心脏病是我国主要的先天畸形,在全国多地均位居新生儿出生缺陷的首位,造成了巨大的社会负担。其中很大一部分患儿需要重建与修复右室流出道与肺动脉瓣,这些患儿长大后将面临再次治疗,往往一生需要多次手术。先天解剖结构的异常与初次手术后发生的粘连将进一步加重再次手术的难度和风险,介入肺动脉瓣可以有效避免传统开胸手术及建立体外循环给患者带来的创伤,降低手术难度,缩短手术时间,将成为众多经历过右室流出道重建患者后续治疗的福音。
佰仁医疗研发生产的这款介入肺动脉瓣可以通过微创切口经右室流出道穿刺直接植入,相对于传统外科开胸手术创伤小、术后恢复快,其支架流入端及流出端采用镂空设计,能有效避免阻挡右室流出道及左右肺动脉开口,在解剖条件适宜的患者中可取得良好的治疗效果。
创新无止境
佰仁医疗与北京安贞医院苏俊武教授团队历时多年合作研发的Salus介入肺动脉瓣及输送系统,作为国家重点研发计划重点专项,于2020年7月获科技部批准立项(项目编号2020YFC1107900)。该产品采用自膨式支架设计,瓣叶采用牛心包为材料,以本企业成熟的外科牛心包瓣的制作工艺与处理技术加工而成,实现有效抗钙化,并具备出色的血流,全方位提高瓣膜的耐久性,是国内首个进入临床试验的经胸介入肺动脉瓣创新器械。该产品主要适用于此前曾手术重建或修复右室流出道、已具有经导管介入肺动脉瓣锚定部位的复杂先心患者的接续治疗。目前已启动由首都医科大学附属北京安贞医院牵头,联合国内多家知名心脏中心的正式临床试验。该临床试验正面向社会招募患者,为更多类似需要救治的危重患者提供救治机会。
关于佰仁医疗
佰仁医疗是国内动物源性植介入材料与人工心脏瓣膜研发与生产的高新技术企业。公司于2019年正式登陆上交所科创板(股票代码:688198),成为国内人工心脏瓣膜领域首家上市企业。公司拥有动物源性材料的核心处理技术,其生产的外科牛心包生物瓣膜是目前国产瓣膜中唯一被大组、长期临床实践证实的成熟产品,其长达14年大组随访结果出色,已发表在国际知名期刊上。公司在复杂先心病右室流出道修复与重建领域已上市或在研的瓣膜产品包括肺动脉带瓣管道(独家)、流出道单瓣补片(独家)、无支架生物瓣带瓣管道(在研)、复杂先心带瓣补片(在研),及提供接续治疗的介入肺动脉瓣,为这类患者提供伴随一生的解决方案。公司研发的介入瓣膜类产品包括介入瓣中瓣、介入主动脉瓣、介入肺动脉瓣已启动正式临床试验。
专家简介

安琪
四川大学华西医院
主任医师,教授,博士生导师,四川大学华西医院心脏大血管外科主任,中华医学会四川省心胸外科专业委员会前任主任委员,中华医学会胸心外科分会委员,中国医师协会心血管外科分会常务委员,国家心血管病中心先心病专家委员会常委,四川省学术技术带头人,华西医院先天性心脏病与心脏移植学术带头人。从事心脏外科临床工作近三十年,有丰富的心脏外科临床经验。2001年后重点从事复杂先天性心脏病的外科临床与基础研究工作,曾经多次在国外短期及中期进修。先后获得多项国家级、省部级科研项目;在国内外知名专业学术期刊上先后发表80余篇学术论文,论文多次在国外学术会议上报道。

冯沅
四川大学华西医院
主任医师,研究生导师,四川大学华西医院先心病亚专业组长,一级专家,中华医学会心血管病分会结构性心脏病学组委员,中国医师协会结构性心脏病学组委员,中华医学会儿科学心血管学组新生儿心脏协作组副组长,中华医学会心血管病分会第10届委员会肺血管病学组委员,四川省心脏瓣膜联盟副主任委员,亚洲心脏瓣膜病学会中国分会心脏瓣膜病介入治疗技术学术委员会常委。临床经验丰富,诊疗技术水平突出,擅长结构性心脏病(先心病、瓣膜病、肺血管病、肺动脉高压)介入诊疗。领先开展多项新技术和挑战、危重症介入手术,高质量完成从新生儿到超高龄患者的各种心脏、肺血管介入手术6000台。发表SCI文章50篇(IF290+),受邀在国内外数十家著名心脏中心指导开展结构性心脏病介入手术。获得2019年四川省科技进步一等奖。

罗书画
四川大学华西医院
心脏大血管外科外科副主任医师,医疗组长。2015年师从石应康教授获心脏外科博士学位。2017年1月赴世界顶级儿童心脏中心-加拿大多伦多病童医院心脏外科接受临床专科培训,历任心外科专培(Fellow),总住院医师,并于2018年底获得多伦多病童医院心脏外科主刀医师资质,获得加拿大行医执照。2019年底回国后主要从事复杂先天性心脏病的外科诊断与治疗,心脏机械辅助,ECMO及心脏移植。2021年度独立完成1岁以内危重复杂先心病外科手术120例,死亡率1.7%,处于全国领先水平。以第一作者或通讯作者身份发表SCI论文20余篇,在国际顶级心脏学术会议等大会发言近20次。先后三次获得北美先心病外科协会年会大奖(2017年,2020年及2021年)。

赵振刚
四川大学华西医院
心脏内科副教授,硕士研究生导师,中华医学会心血管病学分会结构性心脏病学组秘书。2014年毕业于四川大学华西临床医学院,获博士学位,毕业后留院工作,任讲师,从事心血管病的临床、教学及科研工作,2017年破格晋升副教授。2017年至2018年在美国纽约大学医学中心做访问学者。作为负责人承担国家自然科学基金青年科学基金项目及四川省科技厅重点研发项目各一项,作为主研人完成国家“863”计划项目子课题及国家自然科学基金项目各一项、完成四川省科技厅重点研发项目两项。以第一作者或共同第一作者身份在Nat Rev Cardiol, Eur Heart J, Circ Cardiovasc Interv等本学科高水平SCI收录期刊发表学术论文10余篇。作为主要完成人获四川省科技进步一等奖、中华医学科技二等奖等奖项。