世界强化免疫日
强大的免疫系统
是人体健康的坚实“后盾”
免疫力是人体自身的防御机制,是人体识别和消灭外来侵入的任何异物(病毒、细菌等),处理衰老、损伤、死亡、变性的自身细胞,以及识别和处理体内突变细胞和病毒感染细胞,从而维持人体的健康的自我保护能力。
《免疫革命》一书提到:人类95%的疾病源于免疫力低下引起的,免疫力提升30%,癌发率,传染率降低50%,人年轻10岁。
当你体验到体温的骤然升高、周身的酸楚、鼻涕眼泪齐流、痛苦难耐时,这恰是一个无声的信号,昭示着你体内的“健康守护者”已然觉醒,正为了你的安好,与病毒展开一场静默而坚韧的“守卫之战”。这支奇妙而精致的“军队”,就是我们的免疫系统,它是由骨髓、胸腺、脾脏、淋巴结、扁桃体等免疫器官共同构筑的坚固堡垒。
这个免疫系统,是人体健康的坚实“后盾”。不同的人群本身免疫系统也是不相同的。年龄不是免疫系统“衰老”的唯一影响因素。体重过低或肥胖、不良生活习惯、生化指标异常、妊娠、疾病等都会影响免疫系统。
免疫力低下会表现出反复感冒、容易疲劳、伤口不易愈合等现象,长期的免疫力低下,甚至会助长肿瘤的发生及发展。

当免疫系统反应超出正常范围,可能会对人体造成伤害。当免疫系统出现混乱时,免疫细胞无法准确识别“自体”和“异体”,错误地攻击体内正常无害的细胞、组织、器官,可能导致自身免疫性疾病(autoimmune disease,AID)的产生。因此,保持免疫平衡才能维持人体健康。
世界强化免疫日
148种自身免疫性疾病
尚未被满足的临床需求巨大
免疫系统攻击自身的结肠,就会引发结肠炎;攻击关节内的滑膜,引发类风湿关节炎、脊柱炎;攻击皮肤细胞,引发银屑病;攻击神经组织,导致大脑和脊髓功能受损,引发过敏性脑脊髓炎;攻击负责产生胰岛素的β细胞,引发I型糖尿病;攻击黑色素细胞,引发白癜风;攻击多个系统、多个组织器官,引发红斑狼疮……
迄今,人类已经发现了约148种自身免疫性疾病。统计显示,自身免疫性疾病影响世界上约5%~8%的人口,患者人数预计5亿以上;我国主要自免疾病患者近4000万人。从治疗角度看,自身免疫性疾病发病机制复杂,需长期用药,耐药性、依从性等问题比较普遍,被称为“不死的癌症”,常常需要更新换代,这也推动着自身免疫疾病药物行业的持续发展。
美国自身免疫相关疾病协会(AARDA)列出的自身免疫性疾病清单
(顺序是依据疾病英文名称的首字母,与发病率无关。)
向上滑动阅览
1.贲门失弛缓症(Achalasia)
2.阿狄森氏病(Addison’s disease)
3.成人斯蒂尔病(Adult Still''s disease)
4.丙种球蛋白缺乏症(Agammaglobulinemia)
5.斑秃(Alopecia areata)
6.淀粉样变性(Amyloidosis)
7.强制性脊柱炎(Ankylosing spondylitis)
8.抗肾小球基底膜抗体肾炎(Anti-GBM/Anti-TBMnephritis)
9.抗磷脂综合征(Antiphos Pholipid Syndrome,APS)
10.自身免疫血管性水肿(Autoimmune angioedema)
11.自身免疫自主神经机能障碍(Autoimmune dysautonomia)
12.自身免疫性脑脊髓炎(Autoimmune encephalomyelitis)
13.自身免疫性肝炎(Autoimmune hepatitis)
14.自身免疫性内耳疾病(Autoimmune inner ear disease,AIED)
15.自身免疫性心肌炎(Autoimmune myocarditis)
16.自身免疫性卵巢炎(Autoimmune oophoritis)
17.自身免疫性睾丸炎(Autoimmune orchitis)
18.自身免疫性胰腺炎(Autoimmune pancreatitis)
19.自免疫性视网膜病变(Autoimmune retinopathy)
20.自身免疫性荨麻疹(Autoimmune urticaria)
21.急性运动感觉性轴索型神经病(Axonal neuronal neuropathy,AMAN)
22.巴洛病(Baló disease)
23.白塞病(Behcet’s disease)
24.良性黏膜类天疱疮(Benign mucosalpemphigoid)
25.大疱性类天疱疮(Bullous pemphigoid)
26.巨大淋巴结增生症(Castleman disease,CD)
27.乳糜泻(Celiac disease)
28.查加斯病(Chagas disease)
29.慢性炎性脱髓鞘多发性神经病变(Chronic inflammatory demyelinating polyneuropathy,CIDP)
30.慢性复发多灶性骨髓炎(Chronicrecurrent multifocal osteomyelitis,CRMO)
31.Churg-Strauss综合征(Churg-Strauss Syndrome,CSS)
32.Cogan综合征(Cogan’s syndrome)
33.冷凝集素病(Cold agglutinin disease)
34.先天性心脏传导阻滞(Congenitalheart block)
35.柯萨奇病毒性心肌炎(Coxsackiemyocarditis)
36.CREST综合征(CREST syndrome)
37.克罗恩病(Crohn’s disease)
38.疱疹样皮炎(Dermatitisher petiformis)
39.皮肌炎(Dermatomyositis)
40.德维克氏病(Devic’s disease)
41.盘状狼疮(Discoid lupus)
42.Dressler综合征(Dressler’s syndrome)
43.子宫内膜异位症(Endometriosis)
44.嗜酸细胞性食管炎(Eosinophilicesophagitis,EoE)
45.嗜酸细胞性筋膜炎(Eosinophilicfasciitis)
46.结节性红斑(Erythemanodosum)
47.原发性混合型冷球蛋白血症(Essentialmixed cryoglobulinemia)
48.Evans综合征(Evans syndrome)
49.纤维肌痛(Fibromyalgia)
50.纤维性肺泡炎(Fibrosingalveolitis)
51.巨细胞动脉炎(Giant cellarteritis)
52.巨细胞心肌炎(Giant cellmyocarditis)
53.肾小球肾炎(Glomerulonephritis)
54.Goodpasture综合征(Goodpasture’s syndrome)
55.肉芽肿性多血管炎(Granulomatosiswith Polyangiitis,GPA)
56.格雷夫斯病(Graves’ disease)
57.格林-巴利综合征(Guillain-Barre Syndrome)
58.桥本氏甲状腺炎(Hashimoto’sthyroiditis)
59.溶血性贫血(Hemolyticanemia)
60.Henoch-Schonlein紫癜(Henoch-Schonlein purpura,HSP)
61.疱疹妊娠或妊娠性类天疱疹(Herpesgestationis or pemphigoid gestationis)
62.化脓性汗腺炎(HidradenitisSuppurativa)
63.低丙种球蛋白血症(Hypogammaglobulinemia)
64.IgA肾病(IgANephropathy)
65.IgG4相关硬化性疾病(IgG4-relatedsclerosing disease)
66.免疫性血小板减少性紫癜(Immunethrombocytopenic purpura,ITP)
67.包涵体肌炎(Inclusionbody myositis,IBM)
68.间质性膀胱炎(Interstitialcystitis,IC)
69.幼年型关节炎(Juvenilearthritis)
70.青少年肌炎(Juvenile myositis)
71.川崎病(Kawasakidisease)
72.Lambert-Eaton综合征(Lambert-Eaton syndrome)
73.白细胞分裂性脉管炎(Leukocytoclasticvasculitis)
74.扁平苔藓(Lichen planus)
75.萎缩性硬化性苔藓(Lichensclerosus)
76.木样结膜炎(Ligneousconjunctivitis)
77.线性IgA疾病(Linear IgAdisease)
78.慢性莱姆病(Lyme disease chronic)
79.美尼尔病(Meniere’s disease)
80.显微镜下多发性血管炎(Microscopic polyangiitis)
81.混合性结缔组织病(Mixed connective tissue disease)
82.蚕蚀性角膜溃疡(Mooren’s ulcer)
83.Mucha-Habermann病(Mucha-Habermann disease)
84.多灶性运动神经病(MultifocalMotor Neuropathy)
85.多发性硬化症(Multiple Sclerosis)
86.重症肌无力(Myastheniagravis)
87.肌炎(Myositis)
88.嗜睡症(Narcolepsy)
89.新生儿狼疮(Neonatal Lupus)
90.中性粒细胞减少症(Neutropenia)
91.眼瘢痕性类天疱疮(Ocularcicatricial pemphigoid)
92.视神经炎(Opticneuritis)
93.复发性风湿病(Palindromic rheumatism)
94.熊猫病(PANDAS)
95.副肿瘤性小脑变性(Paraneoplastic cerebellar degeneration)
96.阵发性睡眠性血红蛋白尿症(Paroxysmalnocturnal hemoglobinuria)
97.Parry-Romberg综合征(Parry Rombergsyndrome)
98.睫状体平坦部炎(Pars planitis)
99.Parsonage-Turner综合征(Parsonage-Turner syndrome)
100.天疱疮(Pemphigus)
101.周围神经病变(Peripheral neuropathy)
102.静脉周脑脊髓炎(Perivenous encephalomyelitis)
103.恶性贫血(Pernicious anemia)
104.POEMS综合征(POEMS syndrome)
105.结节性多动脉炎(Polyarteritis nodosa)
106.多腺综合征I型、II型、III型(Polyglandularsyndromes type I, II, III)
107.风湿性多肌痛(Polymyalgiarheumatica)
108.多发性肌炎(Polymyositis)
109.心肌梗死后综合征(Postmyocardialinfarction syndrome)
110.心包切开后综合征(Postpericardiotomy syndrome)
111.原发性胆汁性肝硬化(Primarybiliary cirrhosis)
112.原发性硬化性胆管炎(Primary sclerosing cholangitis)
113.孕激素性皮炎(Progesteronedermatitis)
114.银屑病(Psoriasis)
115.银屑病关节炎(Psoriatic arthritis)
116.纯红细胞再生障碍(Pure red cell aplasia)
117.坏疽性脓皮病(Pyoderma gangrenosum)
118.雷诺现象(Raynaud’s phenomenon)
119.反应性关节炎(Reactive Arthritis)
120.反射交感性营养不良(Reflexsympathetic dystrophy)
121.复发性多软骨炎(Relapsingpoly chondritis)
122.不宁腿综合症(Restless legs syndrome)
123.腹膜后纤维化(Retroperitoneal fibrosis)
124.风湿热(Rheumatic fever)
125.类风湿性关节炎(Rheumatoid arthritis,RA)
126.结节病(Sarcoidosis)
127.Schmidt综合征(Schmidt syndrome)
128.巩膜炎(Scleritis)
129.硬皮病(Scleroderma)
130.干燥综合征(Sj?gren’s syndrome,SS)
131.精子和睾丸自身免疫(Sperm testicular autoimmunity)
132.僵人综合征(Stiff person syndrome)
133.亚急性细菌性心内膜炎(Subacutebacterial endocarditis)
134.Susac综合征(Susac’s syndrome)
135.交感性眼炎(Sympathetic ophthalmia)
136.系统性红斑狼疮(Systemic Lupus Erythematosus,SLE)
137.Takayasu动脉炎(Takayasu’s arteritis)
138.颞动脉炎(Temporalar teritis)
139.甲状腺眼病(Thyroid eyedisease,Ted)
140.Tolosa-Hunt综合征(Tolosa-Hunt syndrome,THS)
141.1型糖尿病(Type 1 diabetes,TIDM)
142.溃疡性结肠炎(Ulcerative colitis,UC)
143.未分化结缔组织病(Undifferentiated connective tissue disease,UCTD)
144.葡萄膜炎(Uveitis)
145.血管炎(Vasculitis)
146.白癜风(Vitiligo)
147.小柳原田病(Vogt-Koyanagi-HaradaDisease)
148.抗体型自身免疫性溶血性贫血(Warm autoimmune hemolytic anemia)

来源:弗若斯特沙利文报告
在全球范围内,自身免疫性疾病长期占据着仅次于肿瘤的第二大疾病市场的地位。2022年全球自身免疫疾病药物市场规模约1317亿美元。其中7款药物占据全球销售额超过50亿美元的超级重磅炸弹。根据弗若斯特沙利文数据,预计至2030年全球市场规模将达到1767亿美元。而中国自身免疫疾病药物市场规模约36亿美元,不及司库奇尤单抗一个产品全球一年的销售额。

来源:弗若斯特沙利文报告
根据卫健委的数据,当前中国自身免疫性疾病的发病人数约为8000万人,这一庞大的患者群体使得中国自身免疫病药物市场具有巨大的潜力,也吸引着big pharma和biotech竞相投入。
世界强化免疫日
千亿自免蓝海市场,
国内"竞速赛"谁能拔得头筹?
虽然前景广阔,但自身免疫性疾病机制错综复杂,不断挑战着医学科学的极限,新靶点药物的研发过程难关重重,药效和毒副作用的评估极具挑战性,这都形成了研发过程中的一道道高墙。
在中国的医药研发领域,众多药企争相涉足自免疾病药物的研发,期望揭开这一疾病的神秘面纱。据统计,在A股和H股上市的近80家新药研发企业中,有43家企业勇敢地踏入了自免疾病的赛道。然而,在这庞大的研发队伍中,有28家(65%)企业的自免管线产品数量在2个以下,仅5家(12%)公司的研发产品超过3个。
恒瑞医药是一家综合性创新型企业,在自免领域,有针对经典靶点向IL-17A的夫那奇珠单抗、JAK1的SHR0302、IL-4Rα的SHR-1819,以及针对新靶点TSLP的SHR-1905、RORγ的RS1805等,管线储备丰富,有望迎来收获期。
荃信生物是一家专注于自身免疫及过敏性疾病生物疗法的生物医药企业,拥有完整的自主研发和生产能力,已经搭建了18 条在研管线,与自身免疫疾病相关的靶点涉及各类白介素、IFNAR1、TSLP 以及 c-kit。其乌司奴单抗生物类似药QX001S(HDM3001)上市申请已获受理,核心产品IL-17A单抗QX002N和IL-4Rα单抗QX005N分别处于临床3期和2期。
百奥泰自免管线丰富,不仅有已获批上市的生物类似药格乐立和施瑞立,还布局了靶向IL-5、OX40、CD20和IL-17等药物。
三生国健专注于抗体药物的开发,在自免领域,公司目前拥有5款自主研发产品,其中4款处于临床阶段。根据公司公告披露,608 将在2023 年有望完成临床1 期试验,611、613预计在2023年将启动临床l 期试验。
智翔金泰在自免领域的新一代靶点赛道中排位前列。在自免领域,智翔金泰拥有针对靶点IL-17A的GR1501、IL-4Rα的GR1802、IFNARI的GR1603、TSLP的GR2002,以及IL-1 家族受体的WM1R3。
世界强化免疫日
免疫性疾病药效评价模型平台
美迪西赋能客户撬动市场
本土企业与巨头之间的商业化博弈将逐渐激烈,自身免疫病靶点加速迭代,新机制疗法继往开来,未来何以争雄?美迪西作为一站式生物医药临床前研发服务平台,建有自免疫性疾病药效评价模型平台,赋能合作伙伴进军千亿自身免疫性疾病市场。
1
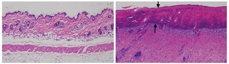
类风湿性关节炎
当身体免疫系统过度强大时,会分泌许多炎症因子,其中的类风湿性因子,会攻击身体内的免疫球蛋白IgG形成免疫复合体而引起炎症。疾病初期出现局部的关节僵硬性疼痛,慢慢侵犯全身,最后导致全身关节失去功能、残废。

类风湿性关节炎
美迪西的诱导模型
? CIA诱导的类风湿性关节炎模型(小鼠/大鼠)
? CFA诱导的类风湿性关节炎(AIA)模型(大鼠)
我们的试验包括多种分析和度数,包括:
?鼠足容积(Foot Volume)

CIA诱导的类风湿性关节炎鼠足体积和CFA诱导的大鼠类风湿性关节炎(AIA)模型
?关节炎指数(AI, Arthritis Index)

CIA诱导的类风湿性关节炎指数
?血浆相关细胞因子表达

CFA诱导的大鼠类风湿关节炎(AIA)模型血浆细胞因子表达
美迪西的其他关节炎模型
?角叉菜胶致大鼠急性关节炎症模型(小鼠/大鼠)
?尿酸钠诱发痛风性关节炎模型(大鼠)
2
过敏性脑脊髓炎模型

3
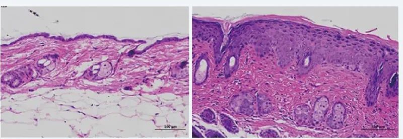
银屑病
银屑病是世界范围内的常见皮肤病,是一种既跟遗传有较强关系,又同时与环境明显相关的疾病,目前其致病机理也尚未明确。
美迪西已有银屑病的模型种类
? IL-23诱导小鼠耳廓表皮异常增生模型
?咪喹莫特诱导的小鼠银屑病样模型
?小鼠阴道上皮有丝分裂模型
?小鼠尾部鳞片模型
试验结果的指标参数可以包括:
?表皮厚度

咪喹莫特致小鼠银屑病样皮肤变化
?耳厚度

IL-23致小鼠银屑病样皮肤变化
?皮肤综合得分

咪喹莫特致小鼠银屑病样皮肤变化
?皮肤病理得分

咪喹莫特致小鼠银屑病样皮肤变化-病理 IL-23致小鼠耳廓银屑病样皮肤变化-病理

嘧喹莫特致小鼠银屑病样皮肤病变

IL-23 致小鼠银屑病样皮肤病变
4
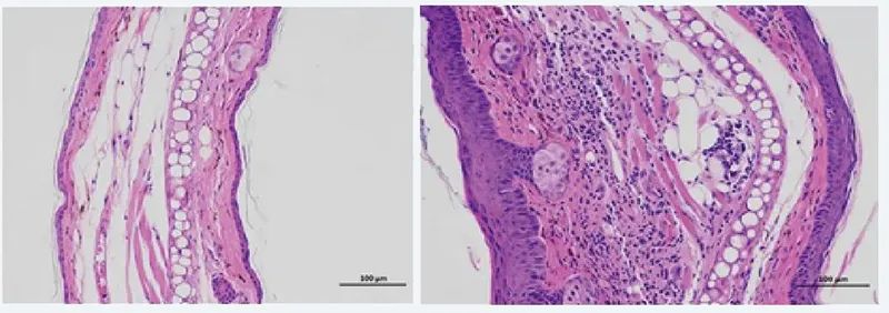
特应性皮炎及湿疹
特应性皮炎是一种慢性、复发、炎症性的皮肤病,常伴随过敏性鼻炎、哮喘、湿疹等其他特应性疾病,故被认为是一种系统性疾病。目前病因尚不明确,且无法治愈。
美迪西建立的相关疾病模型
? DNFB诱导的慢性特应性皮炎模型
? DNCB+OX诱导的慢性特应性皮炎模型
?佛波酯诱导的急性湿疹样模型
? DNFB诱导的亚急性湿疹样模型
我们监测的数据结果包括:
?皮肤得分

DNFB诱导小鼠慢性特应性皮炎
?皮肤厚度

DNFB诱导小鼠慢性特应性皮炎

随着针对炎症因子、阻断Th2通路、靶向B细胞等创新药物机制的相继研发,新型免疫疗法的出现推动着自身免疫疾病药物行业的持续发展。未来,美迪西期待着更多新靶点、新机制的国产创新药涌现,助力自身免疫性疾病药物研发,为人类健康的未来而谋。

关于美迪西
美迪西(股票代码:688202.SH)成立于2004年,总部位于上海,致力于为全球制药企业、研究机构及科研工作者提供全方位的临床前新药研究服务。美迪西的一站式综合服务以强有力的项目管理和更高效、高性价比的研发服务助力客户加速新药研发进程,服务涵盖医药临床前新药研究的全过程,包括药物发现、药学研究及临床前研究。至2023年年中,美迪西已为全球超2000家客户提供药物研发服务,参与研发完成的新药及仿制药项目已有385件IND获批临床,与国内外优质客户共同成长。美迪西将继续立足全球视野,聚力中国创新,为人类健康贡献力量!